来宝网 2020/6/28点击964次
MolPure®核酸提取系列产品,更多选择,更高质量

核酸是由许多核苷酸聚合成的生物大分子化合物,为生命的最基本物质之一。核酸广泛存在于所有动植物细胞、微生物内,并且常与蛋白质结合形成核蛋白。核酸提取是分子生物学实验中最基础的实验之一,几乎所有的分子生物学实验上游都需要用到核酸提取。
核酸提取方法
核酸提取包含裂解和纯化两大步骤,裂解是使样品中的核酸游离在裂解体系中的过程。通过使蛋白质变性,破坏膜结构及解开与核酸相连接的蛋白质,从而实现核酸游离在裂解体系中。裂解体系中还可能加入蛋白酶,利用蛋白酶将蛋白质消化成小的片段,促进核酸与蛋白质的分开,同时,也便于后面的纯化操作以及获得更纯的核酸。
表1. 核酸提取常见裂解方式
裂解方法 | 原理 | 应用 | 适用样本 |
CTAB法 | 一种阳离子去污剂,可溶解细胞膜,并与核酸形成复合物。该复合物在高盐溶液中可溶,通过有机溶剂抽提,去除蛋白、多糖、酚类等杂质后加入乙醇沉淀即可使核酸分离出来。 | DNA、RNA提取 | 植物组织、真菌等 |
SDS法 | 一种阴离子去污剂,可促使细胞裂解,使染色体离析、蛋白质变性,释放出核酸。 | DNA提取、质粒提取 | 适用于大部分实验材料,如血液、细胞、动物组织、细菌、酵母等 |
胍盐法 | 胍盐是蛋白强变性剂,采用高浓度的胍盐裂解细胞,促使核蛋白体解离,同时使细胞内核酸酶失活,避免释放出的核酸被降解。 | DNA、RNA提取 | 适用于各类动物组织、培养细胞、次生代谢物较少的植物组织 |
纯化则是使核酸与裂解体系中的其它成分,如蛋白质、盐及其它杂质彻底分离的过程。常见的纯化方式有:有机溶剂抽提、硅胶质吸附(柱式法)、磁珠吸附3种。第一种方法是利用有机溶剂对裂解体系进行反复抽提以去除蛋白等杂质;再用醇将核酸沉淀下来,实现核酸与盐的分离。第二种和第三种方法都是利用某些固相介质,在某些特定的条件下,选择性地吸附核酸,而不吸附蛋白质及盐的特点,实现核酸与蛋白质及盐的分离。

核酸提取的原则
u 保证核酸一级结构的完整性
u 排除其它核酸分子的污染(如提取DNA时排除RNA的干扰)
u 核酸样品中不应存在对酶有抑制作用的有机溶剂和高浓度的金属离子
u 尽可能降低蛋白质、多糖和脂类等大分子物质污染
MolPure®系列试剂盒,理想的核酸提取产品!
MolPure®柱式核酸提取系列试剂盒采用MolPure® DNA/RNA Column和新型的溶液体系,适用于从各种反应体系样品、多种动植物样本、菌体等复杂样本中高效提取和纯化高纯度、高质量的核酸。大部分试剂盒提取过程不需要用到有毒的酚、氯仿等有机物抽提,也不需要用到耗时的异丙醇或乙醇沉淀,操作简便,具有高效、快速、环保等特点。升级版的离心柱能高效结合核酸,不吸附蛋白质、多糖、脂类及其它非核酸类物质,提取的核酸纯度高,可直接用于各种分子生物学实验。
产品类型

产品性能
1. MolPure Cell/Tissue DNA Kit 细胞/组织DNA提取试剂盒 18700ES
产品特点
n 得率高:产量高达40 µg
n DNA纯度高:无蛋白质和RNA污染,可直接用于PCR、酶切和杂交等实验
n 快速简便:操作过程1 h完成
n 安全环保:无需使用酚氯仿等有机物抽提

图1:小鼠组织DNA提取琼脂糖胶图,18700提取产量优于T公司同类产品
2. MolPure Plant DNA Kit 植物DNA提取试剂盒 18800ES
产品特点
n 样本范围广:适用于普通植物、低含量多糖多酚类植物、细胞、真菌样品
n DNA纯度高:OD260/OD280比值可达1.7~1.9,可直接用于PCR、酶切和杂交等实验
n 得率高:产量高达30 μg
n 安全环保:无需使用酚氯仿等有机物抽提

图2:拟南芥、杨树叶片DNA提取琼脂糖胶图,18800提取产量优于T公司同类产品
3. MolPure Gel Extraction Kit 琼脂糖凝胶回收试剂盒 19101ES
产品特点
n 回收DNA长度范围广:50 bp-15 kb
n 操作简便:15 min即可完成纯化
n 回收率高:回收率>60%,高达90%

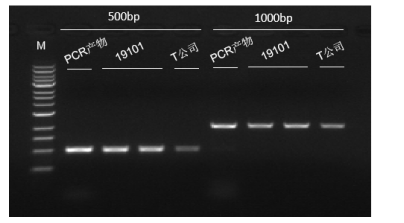
图3:500 bp/1 kb PCR产物琼脂糖凝胶回收胶图,19101回收效率略优于T公司同类产品。
4. MolPure Plasmid Mini Kit 质粒小量提取试剂盒 19001ES
产品特点
n 质粒提取得率高:升级版离心柱,可吸附30 μg质粒DNA
n 质粒纯度高:可直接用于酶切、转化、测序等实验
n 安全环保:无需使用酚氯仿等有机物抽提

图4:PUC19、40 kb质粒提取结果胶图,19001提取质量不亚于进口品牌T公司同类产品。
常见问答
DNA提取常见问题:
常见问题 | 可能原因 | 解决方法 |
DNA产量低 | 处理材料过量或者裂解不完全 | 使用适量的起始材料,充分研磨或者匀浆 |
RNA残留 | 样品RNA含量太丰富 | 提高RNase A处理浓度 |
未提取到DNA | 漂洗液中忘记加无水乙醇 | 第一次实验时,在Wash Buffer*中加入指定量无水乙醇 |
离心柱堵塞 | 研磨裂解不充分,团块多;裂解物太粘稠;离心力太小 | 在裂解后添加一步离心以去除杂块;减低起始材料量,不要处理过量;加大离心力 |
洗脱的DNA溶液带颜色或者膜上有明显的色素残留 | 漂洗次数不够 | 漂洗完成后,加500μL乙醇再漂洗一遍。 |
起始材料太多过量 | 减少起始处理材料,不要过量 | |
洗脱下来的DNA产量低 | 离心柱残留有较多乙醇或者底部不慎沾有乙醇 | 确保做了空柱离心步骤,否则残留乙醇会影响洗脱效率 |
洗脱缓冲液量偏低 | 使用100-200 μL Elution Buffer洗脱 | |
A260吸光值异常偏高 | 一些硅基质膜成分一起洗脱下来,干扰了吸光值 | 将洗脱的基因组DNA溶液13,000 rpm离心1 min,小心取上清使用 |
DNA下游酶切不能切开或者酶切不完全 | 离心柱残留有较多乙醇或者底部不慎沾有乙醇抑制了酶切反应 | 确保做了空柱离心,然后空气中晾几分钟,让残留乙醇挥发 |
RNA提取常见问题:
常见问题 | 可能原因 | 解决方法 |
提取不到RNA或者RNA产量低 | 漂洗液中没有添加正确体积的无水乙醇 | 按照说明书在试剂盒使用前,添加正确体积的无水乙醇并混匀 |
样本保存不当或样本保存时间过久 | 样本保存于-80℃或冻存于液氮中,并避免反复冻融使用;尽量采用新鲜组织或培养的细胞进行RNA提取操作 | |
样本裂解不充分 | 在组织匀浆时,请保证组织充分匀浆,组织细胞都被充分裂解释放RNA | |
样本用量不合适 | 按说明书建议量添加样品用量及裂解液,样品添加过多会导致RNA提取量降低 | |
洗脱液添加不正确 | 确认RNase-free H2O添加到了MolPure® RNA Column中央位置 | |
洗脱体积不合适或洗脱不彻底 | 洗脱液体积为100 μL为佳;若洗脱效果不理想,建议RNase-free H2O预热后加入,延长室温放置时间 | |
吸附柱中有漂洗液洗涤后的乙醇残留 | 如果洗涤后空柱离心1 min仍有乙醇残留,可以将空柱离心操作的时间增加至2 min,或将MolPure® RNA Column室温晾置5 min,以充分除去残留乙醇 | |
获得的RNA有降解 | 组织样本没有及时保存 | 组织样本或者细胞在收集后若不及时使用,请立即低温保存于-80℃或者液氮中;提取RNA请尽量使用新近采集的组织或细胞样本 |
组织样本反复冻融 | 组织样本保存时,最好切成小块保存,使用时取出其中一块即可,避免样本的反复冻融导致RNA的降解 | |
操作间有RNase引入或没有佩戴一次性手套、口罩等 | RNA提取实验最好在单独的RNA操作间进行,并在实验前清理好实验桌,实验时佩戴一次性手套、口罩,最大程度上避免RNase引入导致的RNA降解 | |
试剂在使用过程中被RNase污染 | 更换新的配套试剂进行相关实验 | |
RNA操作时所用的离心管、枪头等有RNase污染 | 确认RNA提取时所用到的离心管、枪头、移液器等都是RNase-free级别 | |
获得的RNA影响下游实验 | 洗脱后的RNA有盐离子残留 | 确认漂洗液中添加了正确体积的乙醇,并进行2次柱洗涤;如果还有盐离子残留,在MolPure® RNA Column漂洗后,室温放置5 min后再进行离心操作,以最大程度上去除盐离子污染 |
洗脱后的RNA有乙醇残留 | 确认漂洗液洗涤后,有进行空柱离心操作;若还有乙醇残留,可以将空柱离心时间增加至2 min,或者在空柱离心后室温晾置5 min,以最大程度上去除乙醇残留 |
产品订购
产品名称 | 货号 | 规格 | 价格(元) | 促销价(元) |
MolPure PCR Purification Kit PCR产物纯化试剂盒 | 19106ES50/70 | 50/200T | 233/573 | 159/399 |
MolPure Gel Extraction Kit 琼脂糖凝胶回收试剂盒 | 19101ES50/70 | 50/200T | 263/573 | 189/399 |
MolPure Plasmid Mini Kit 质粒小量提取试剂盒 | 19001ES50/70 | 50/200T | 183/573 | 129/399 |
MolPure Endo-free Plasmid Maxi Kit 无内毒素质粒大量提取试剂盒 | 19036ES10 | 10T | 973 | 679 |
MolPure Cell/Tissue DNA Kit 细胞/组织DNA提取试剂盒 | 18700ES50/70 | 50/200T | 413/1483 | 289/1039 |
MolPure Plant DNA Kit 植物DNA提取试剂盒 | 18800ES08/20/50 | 5T/50/200T | 100/513/1653 | 70/359/1159 |
MolPure TRIeasy Plus Total RNA Kit 总RNA提取试剂盒(带离心柱) | 19211ES60 | 100T | 1293 | 909 |
MolPure Cell/Tissue Total RNA Kit 细胞/组织总RNA提取试剂盒 | 19221ES08/50 | 5T/50T | 133/893 | 89/629 |
MolPure Plant RNA Kit 植物RNA提取试剂盒 | 19291ES08/50 | 5T/50T | 170/873 | 119/609 |
MolPure Cell/Tissue miRNA Kit 细胞/组织miRNA提取试剂盒 | 19331ES50 | 50T | 2353 | 1649 |
更多产品敬请期待,持续上新中~
相关产品推荐
类别 | 产品名称 | 货号 | 规格 | 价格(元) |
PCR类 | 2×Hieff® PCR Master Mix (With Dye) | 10102ES03/08 | 1/5×1ml | 40/150 |
2×Hieff® Robust PCR Master Mix(With Dye) | 10106ES03/08 | 1/5×1ml | 65/265 | |
2×Hieff® HotStart PCR Genotyping Master Mix(With Dye) | 10108ES03/08 | 1/5×1ml | 75/345 | |
Hieff Canace® Gold High-Fidelity DNA Polymerase 高保真DNA聚合酶 | 10148ES60/76/80 | 100/500/1000U | 683/2383/4583 | |
2× Hieff Canace® Gold PCR Master Mix 高保真酶预混液 | 10149ES03/08 | 1/5×1ml | 553/1453 | |
克隆类 | Hieff CloneTM Zero TOPO-TA Cloning Kit 零背景TOPO-TA克隆试剂盒 | 10907ES20/50 | 20/50T | 625/1323 |
Hieff CloneTM Zero TOPO-Blunt Cloning Kit 零背景TOPO-Blunt平末端克隆试剂盒 | 10909ES20 | 20T | 625 | |
Hieff CloneTM Plus One Step Cloning Kit 一步法快速克隆试剂盒 | 10911ES25/62 | 25/5×25T | 655/2455 | |
Hieff CloneTM Plus Multi One Step Cloning Kit 多片段一步法快速克隆试剂盒 | 10912ES10/50 | 10/5×10T | 457/1967 | |
反转录类 | Hifair® II 1st Strand cDNA Synthesis Kit (gDNA digester plus) | 11121ES60 | 100 T | 935 |
Hifair®II 1st Strand cDNA Synthesis SuperMix for qPCR(gDNA digester plus) | 11123ES60 | 100 T | 955 | |
Hifair® Ⅲ 1st Strand cDNA Synthesis SuperMix | 11137ES60 | 100 T | 1193 | |
Hifair® Ⅲ 1st Strand cDNA Synthesis SuperMix for qPCR (gDNA digester plus) | 11141ES60 | 100T | 1383 | |
qPCR类 | Hifair® qPCR SYBR® Green Master Mix (No Rox ) | 11201ES08 | 5 mL | 740 |
Hifair® qPCR SYBR® Green Master Mix (Low Rox Plus) | 11202ES08 | 5 mL | 740 | |
Hifair® qPCR SYBR® Green Master Mix (High Rox Plus) | 11203ES08 | 5 mL | 740 | |
Hieff UNICON® Power qPCR SYBR Green Master Mix ( 抗体法,No Rox) | 11195ES08 | 5 mL | 1653 | |
Hieff UNICON® Power qPCR SYBR Green Master Mix ( 抗体法,Low Rox) | 11196ES08 | 5 mL | 1653 | |
Hieff UNICON® Power qPCR SYBR Green Master Mix ( 抗体法,High Rox) | 11197ES08 | 5 mL | 1653 | |
Hieff UNICON® qPCR SYBR Green Master Mix ( 抗体法,No Rox) | 11198ES08 | 5 mL | 1466 | |
Hieff UNICON® qPCR SYBR Green Master Mix ( 抗体法,Low Rox) | 11199ES08 | 5 mL | 1466 | |
Hieff UNICON® qPCR SYBR Green Master Mix ( 抗体法,High Rox) | 11200ES08 | 5 mL | 1466 | |
核酸电泳 | YeaRed Nucleic Acid Gel Stain (10,000× in Water) YeaRed 核酸染料(10,000× 水溶液) | 10202ES76 | 500μl | 585 |
双荧光素酶检测 | Dual Luciferase Reporter Gene Assay Kit 双荧光素酶报告基因检测试剂盒 | 11402ES60/80 | 100/1000T | 1265/9965 |
转染试剂 | Hieff TransTM Liposomal Transfection Reagent 脂质体核酸转染试剂 | 40802ES02/03/08 | 0.5/1/5×1ml | 738/1308/4878 |
Calcium Phosphate Cell Transfection Kit 磷酸钙法细胞转染试剂 | 40803ES70 | 200T | 625 |
(来源: 上海翊圣生物科技有限公司 )